Treatment Gallery

Real Patient Transformations

Changing Lives, One Smile At A Time

Many patients step into our practice with the goal of improving their smile. Others are looking to repair damage and get their oral health back on track. Seeing these individuals walk out of our doors with a strong smile and newfound confidence is the reason behind our mission here at Foundation Dental Specialists. No matter your goals, we’re honored to be a part of your oral health journey. Take a look at our Before & After gallery to explore real patient stories!

Connective Tissue Grafting
Connective Tissue Grafting Before Treatment

Before

Connective Tissue Grafting After Treatment

After

We performed connective tissue grafting using a minimally-invasive tunneling technique.

Connective Tissue Graft
Connective Tissue Graft Before Treatment

Before

Connective Tissue Graft After Treatment

After

A connective tissue graft was placed in this area to correct recession and cover up this patient’s exposed root surface. Minimally invasive techniques were used to take a small piece of tissue from the roof of the patient’s mouth and transplant it to the area where it was needed. The patient healed very well and the results should last a lifetime.

Full Arch Soft Tissue Grafting
Full Arch Soft Tissue Grafting Before Treatment

Before

Full Arch Soft Tissue Grafting After Treatment

After

Full-arch soft tissue grafting of the lower arch using donor tissue and the minimally invasive tunneling technique.

Full Arch Soft Tissue Grafting Using Donor Tissue
Full Arch Soft Tissue Grafting Using Donor Tissue Before Treatment

Before

Full Arch Soft Tissue Grafting Using Donor Tissue After Treatment

After

This patient sought treatment for gum recession and exposed roots. Our periodontist used donor tissue and a minimally-invasive “tunneling technique” to correct the recession and recontour existing fillings, all in one visit. The patient was thrilled with the results and relieved to avoid tissue removal from the roof of his mouth

Free Gingival Graft
Free Gingival Graft Before Treatment

Before

Free Gingival Graft After Treatment

After

This patient had sore gums because of recession and a strong muscle attachment from his lower lip. The site was treated with a free gingival graft (from the palate) and the patient was much more comfortable afterwards.

Soft Tissue Grafting

Before

After

With our connective tissue graft, the patient’s comfort and long-term tooth stability was established.

Soft Tissue Grafting

Before

After

Covering exposed roots with soft tissue grafting reduces discomfort and enhances esthetics as well.

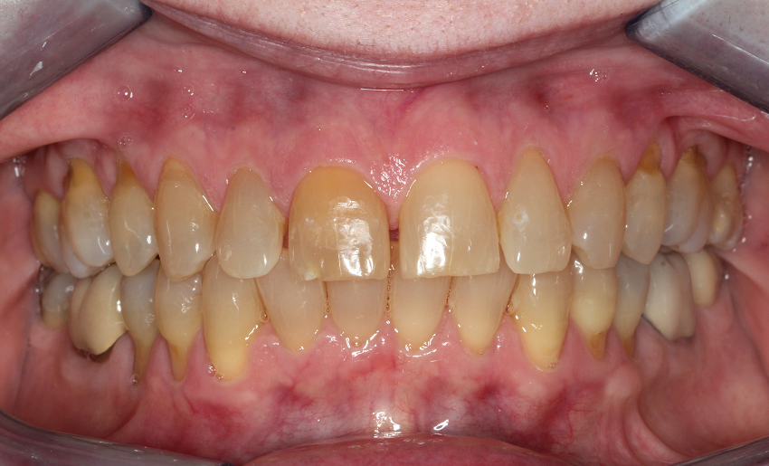
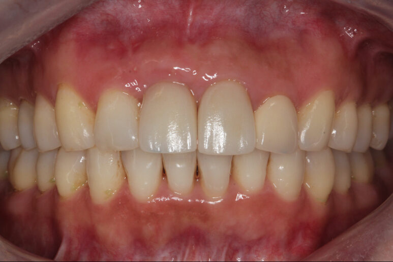
Soft Tissue Grafting

Before

After

Grafting strengthens thin or receding gum tissue, and restores a natural, healthy gum line improving the smile’s appearance.

Soft Tissue Grafting

Before

After

With our minimally invasive soft tissue grafting procedure, there are no longer any restrictions in the upper right or lower right sextants.

Soft Tissue Grafting

Before

After

This patient experienced excellent healing following her grafting procedures. A soft tissue graft can restore receded gums, improve the appearance of your smile, reduce tooth sensitivity, and protect exposed roots from bone loss and cavities.

Anterior Implant

Before

After

This patient received an expertly placed anterior implant that contributed to a beautifully restored smile. An anterior implant was placed to restore both the function and natural appearance of the patient’s smile in the front of the mouth.

Crown Lengthening & Implants
Crown Lengthening & Implants 2 Before Treatment

Before

Crown Lengthening & Implants 2 After Treatment

After

This patient achieved a beautifully balanced smile with crown lengthening and dental implants. The treatment enhanced her gumline and restored missing teeth, improving both aesthetics and function.

Crown Lengthening & Implants
Crown Lengthening & Implants Before Treatment

Before

Crown Lengthening & Implants After Treatment

After

This patient underwent crown lengthening to create a balanced gumline, followed by dental implants for a complete smile restoration. The result is a natural, functional, and confident smile.

Full Arch Implants Case
Full Arch Implants Case Before Treatment

Before

Full Arch Implants Case After Treatment

After

From missing teeth to a confident smile, full arch implants transformed this patient’s life!

Full Arch Implants Case
Full Arch Implants Case 2 Before Treatment

Before

Full Arch Implants Case 2 After Treatment

After

This patient regained confidence and function with full-arch dental implants. The transformation improved her bite, provided a natural look, and ensured a secure fit.

Endodontic Case
Endodontic Case Before Treatment

Before

Endodontic Case After Treatment

After

This patient has a large infection (the large dark circle at the top of the roots) in the front two teeth. Dr. Lim completed endodontic therapy, and 6 months later, you can see how well the lesion healed. The large dark circle is now filled in with white, indication of bone regrowth in space where there used to be infection.

Endodontic Case
Endodontic Case 2 Before Treatment

Before

Endodontic Case 2 After Treatment

After

The patient had an abscess and deep periodontal pocket on tooth #19, with bone loss on the posterior root. Dr. Lim performed two-visit root canal therapy with calcium hydroxide. Six months later, the pocket resolved, the patient was asymptomatic, and bone regenerated—all with just a root canal!

Endodontic Case
Endodontic Case 3 Before Treatment

Before

Endodontic Case 3 After Treatment

After

This patient had an abscess around the roots of a back molar tooth. With root canal therapy, the patient was able to get rid of the infection and save the tooth.

Endodontic Case
Endodontic Case 4 Before Treatment

Before

Endodontic Case 4 After Treatment

After

The laser technology effectively negotiated and cleaned the accessory canals at the root apex, a task that would have been more challenging with conventional methods.

Discover How Our Expertise Can Help You Achieve Optimal Oral Health